肺炎について
11月に入り、また寒さが増してきましたね。
先日、北海道や青森県の一部では雪が降り、蔵王山や関東地方の山々では初冠雪が観測されたと聞きました。仙台市では今月末には雪が降るのでしょうか…☃
今回は「肺炎」についてお話しします。
主な症状
咳…乾いた咳(カハッ、カハッ)、喘鳴(ゼー、ゼー)、湿った咳
呼吸…浅くて早い・苦しそう、開口呼吸(口を開けて呼吸)
また、元気・食欲がない、発熱なども見られる
重症化すると…ぐったりする、呼吸困難、肺水腫、チアノーゼ(歯茎や舌が青紫色になる)などがある。
咳は主に夜〜早朝にかけてが多く、運動後や興奮時にも見られることがある
原因
寝たきりの老齢の子や嘔吐の回数が多い場合、食べ物または吐物が誤って気道に入り誤嚥することが原因の場合もあるが、ウイルス・細菌の感染、真菌、アレルギーが原因の場合もある
検査
聴診…胸の音を聞き、異音・雑音がないか
レントゲン検査…通常のレントゲン検査では肺は黒く写るが、肺炎になっている場合は白く写るので肺炎の重症度など見ることができる
血液検査…CRP(炎症のマーカー)の数値が高くないか
酸素飽和度測定…体内酸素を測定
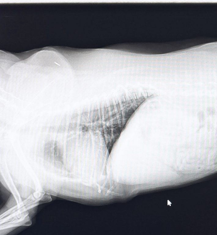
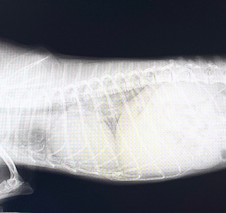
○横から撮影したレントゲン画像
(それぞれ画像は左側が首側、右側がお腹側)
通常の肺
(画像の中央辺りが黒い)

肺炎により異常を起こしている
(通常の肺と比べ黒い部分がない、または少ない)

治療法
原因によるが、抗生物質などの薬剤投与
重症度により、酸素吸入、点滴など
呼吸困難や体内酸素が少ない場合、酸素室に入れ集中的に治療し、帰宅後も自宅で継続的に治療が必要になる
咳をしている・呼吸がいつもと違う、ぐったりしているなどの症状があれば様子を見ず、早めの受診・治療をおすすめします。
🍌バニャニャ🍌
昨日のハロウィン投稿はいかがでしたか?🎃
みんなの仮装、可愛かったですよね〜!
今日は、とら吉に新しいベッドをプレゼントしました🎁
1日遅れの仮装…?(笑)


最初は使い方が分からず、戸惑っていましたが、気がついたら入ってくれました😄
(なんと凛々しいお顔・・・笑)
気に入ってくれたようで、バナナベッドから離れません


ハイハオ「とら吉くん、僕も入れて欲しいニャ・・・」
🎃Happy Halloween🎃
今日はハロウィーンなので仮装してみました👻

ハイハオは固まって微動だにせず…

顔が怖い…w
ふてくされて隙間に引っ込むハイハオ。

ア○ッサのロゴみたいなとら吉🌞とナスみたいなとら吉🍆

花音はハロウィーンというか古希のおばいちゃんみたいw
かわいいと思って買ったかぶりものでしたがちょっと失敗でした💦
おまけ…
キョンシーのお札を貼りました☆


美ニャンシー♡
お札が剥がれ、興奮しイタズラしていたハイハオでした
花音を誘ってドライブへ ~秋編~
秋めいてきたのでまた花音と一緒に湖畔公園へ。
今回は車酔いしたらしく、ちょっとよだれを垂らしていました💦
この時期はキバナコスモスとコキアが見頃で素敵な景色を堪能できました😊
すれ違う人に「かわいいわね~」とか、「綺麗にしてもらってていいね~」とたくさん声をかけてもらい、ちょっと誇らしい気持ちに…😳
今回もいっぱい歩いて来ました🐾楽しんでくれたかな?

(涼しいと思ったのに意外と暑かったね~💦)

(わんちゃんたくさん散歩してたね🐾視線の先には…)

(ハロウィンが近いからかカボチャがゴロゴロ…🎃)
湖畔公園の北地区の方でも熊が出没していたらしく、知らずに行っていました🐻最近は八木山でも出没していて散歩するのもドキドキです。本当に怖いですね((゚□゚;))
フィラリア予防は最後が大切☝️
10月になり秋らしい気温になってきましたね。
さて、特にわんちゃんは毎年フィラリアの予防をしているかと思いますが、涼しくなってくると、暑い時期に比べて予防薬を飲ませ忘れてしまいがちです。
しかし、フィラリア予防は最後までしっかりお薬を飲ませることが大切です!

◎そもそもフィラリアとは🤔?
蚊の吸血によって媒介する寄生虫です。フィラリア症に感染してしまうとフィラリアの幼虫が血管に生息し、少しずつ成長していきます。フィラリアが成虫になると、心臓や肺動脈に寄生し
心不全や呼吸困難など命に関わることもあります。
フィラリア症にかからないようにするためには、毎年一定期間、予防することが重要です☝
◎予防期間と予防薬💊
・フィラリアの予防期間は“蚊がいる時期”と誤解されがちですが、“蚊が出始めてから1ヶ月後から蚊がいなくなってから1ヶ月後”までの予防が推奨されています。そのため期間は地域によって異なりますが、当院では4月〜5月から11月までをおすすめしています。
・フィラリア予防薬は月1回の投薬になりますが、1ヶ月間効果が続くわけではなく投薬した時のみ駆虫ができるお薬です。そのため、蚊がいなくなってから1ヶ月後に最後の投薬をすることで、体内にフィラリアの幼虫がいた場合でも確実に駆虫することができます。
◎フィラリア症はしっかり予防すれば防ぐことができる病気です。シーズンの最後まで予防を忘れないようにしましょう!

あ、あれ…?
夜ご飯を食べて満足なとら吉。
ゆっくり休憩できる寝床が欲しかったからか、そばにあったリアンのキャリーにIN。

リアンが近づくとすかさず猫パンチ👊
(リアンのなのに…)と近くをうろうろ…

とら吉はお構いなしにウトウトして気持ちよさそう。
今日はリアンの家にお泊まりする?


必死に訴えかけるリアン。
結局、とら吉は無事におうちに連れ戻され、事なきを得ました。
飼育時のケージの必要性について
わんちゃんを迎えるにあたりケージやサークルを準備する方は増えていますが、ねこちゃんはどうでしょう。わんちゃんに比べると普及率はまだまだ低いように感じられます。閉じ込めておくなんてかわいそう…と思われがちですが、あると非常に役立つケージについてお話ししたいと思います。
【ケージの必要性】
◎安心して落ち着ける場所づくり
ケージは自分のテリトリーとしてリラックスできる空間や避難場所になります。
◎留守中のいたずら防止、事故防止
ケージに入れておくことで目を離した隙にいたずらしたり、事故に遭うのを避けられたり(誤食、感電、浴槽で溺れる、吹き抜けの二階から落下する等)、地震等があったとき落下物から身を守ることができます。
(実際、スタッフの犬は東日本大震災の時ケージに入れて留守番をさせていたため、落下物から身を守る事ができた上、割れた食器などを踏まずに済みケガなく無事でした。)
◎緊急時に避難する際、ケージ生活に慣れさせておくことができる
普段からケージ生活に慣れていない子は災害時にケージ生活が必要になった時大きなストレスを感じることになります。
◎多頭飼育の場合、食事管理がしやすく安静を保つことができる
猫ちゃんを飼っている方は特に多頭飼育が多いと思います。新しい子を迎える時やケガや病気の子の安静を保ちたい時、与える食事の種類や量をコントロールしたい時などにとても役立ちます。

【適切な設置場所】
快適な温度管理ができる場所を選び、通気性を確保することが大切です。
〈わんちゃんの場合〉
家族として彼らが快適に過ごせる場所に設置してあげてください。一番おすすめなのがリビングです。犬は群れで生活するため一匹でいることが苦手です。リビングであれば大好きなご家族の様子をみることができ安心して過ごすことができるでしょう。
〈ねこちゃんの場合〉
静かで落ち着ける場所を選び騒音が少ない位置に設置します。外の様子を観察できるよう窓際や部屋の角に配置するのが理想ですが直射日光は避けましょう。
【ケージ選びのポイント】
〈わんちゃんの場合〉
よく使用されるのがケージとサークルですがその違いは天井と床面の有無です。それぞれメリット・デメリットがありますが天井がないサークルは脱走する恐れがあるため、犬の安全性や強度を重視するとサークルよりケージがおすすめです。
ケージを選ぶ際の目安として犬が伏せのポーズをしたときに足がはみ出ないように奥行があり、立ち上がった時に余裕をもって方向転換できる高さ・幅があるといいでしょう。また、わんちゃんの大きさや性格によっては犬が柵に寄りかかっても倒れない、柵を噛んでも壊れないことなど丈夫であることもポイントです。
〈ねこちゃんの場合〉
ねこちゃんは上下運動を好み、さらにトイレと寝る場所を分ける子もいるので2〜3段になっているケージを選んであげるとより快適に過ごしてもらうことができます。
ただ骨折や怪我により安静に過ごさなければならない場合や小さな子猫の場合は上段からの落下等による事故を防ぐため1段ケージの方が安全でしょう。
画像はAmazonより(http://amzn.asia/d/cuWjO93)
【ケージを使用するデメリット】
◎ケージ中心の生活になると運動不足になる
ケージから出して運動不足を解消してあげる必要があります。
一方で、仕事などで家にいる時間が少なく、ケージから出してあげる時間があまり確保できない方もいることでしょう。その場合はケージ内で運動できるような環境を整えてあげる必要があります。
◎長時間ケージに入れているとストレスになる
たとえ慣れていてもケージで長時間お留守番させるなど閉じ込めた状態にすることは大きなストレスになる可能性があります。飼い主さんが家にいる間は入れっぱなしにせず、気分転換をさせてあげましょう。
◎ケージを設置する場所を用意する必要がある
ケージを部屋に置くと場所をとるのがデメリットです。ねこちゃんの場合はケージの高さも必要になるため、ケージを置くためには横幅だけでなく高さも踏まえてスペースを確保しなければなりません。
◎清掃が必要になる
トイレが一緒に入っていると、尿の飛び散りでケージの床やフェンスにニオイが付着して不衛生になることがあるため定期的にお手入れが必要になります。
◎ケージが罰として使われると嫌がる原因になる
悪いことをした罰としてケージに入れるのはやめましょう。嫌いな場所になってしまい、いざというときに入ってくれなくなったり、安心できる場所ではなくなってしまう可能性があります。あくまでも安心していられる、休息の場にすることが大切です。
【まとめ】
わんちゃんを室内飼育する場合、必ずといって良いほど必要となるアイテムのひとつです。わんちゃん・ねこちゃんのタイプにあったものを選び落ちつける場所づくりを心がけましょう。
またケージ購入後には設置場所に注意し、安全対策をしっかり行いながら使用しましょう。

(普段は自由に出入りできるようになっています。小さい時から慣れているため、一人になりたい時や夜寝る時間になると自らケージに入り休んでいます。)
熱中症について🥵
暑くてジメジメとした日が続いていますね💦
本日は今の時期に特に多い犬猫の熱中症🔥
についてお話いたします!
熱中症は5月から本格的な夏を迎える7〜8月に かけて注意が必要です。
特に体が暑さに慣れていない5、6月頃や梅雨時の湿気が多い時期は熱中症になりやすいとされています。
今年は例年よりも暑い期間が長く続く予報なので、しっかり対策していきましょう😼💪
こんな時は熱中症のサインかも!💦
・いつもよりハアハアと口を開けて呼吸をしている
・心拍数が速い
・体が熱い
・よだれが多い
・口の中、舌が赤い
・ぐったりしていて動きたがらない
これらの症状は熱中症の初期によくみられる症状です。症状を悪化させないためにもすぐに応急処置をしてあげることが大切です!
意外な場面で熱中症に💦
冷房をつけた比較的涼しいお家の中
ワンちゃんは喉が渇いて水を飲むだけではなく、熱くなった体の体温を下げるために水を飲みます。ですから、冷房の効いた室内にいると暑さを感じず、水分を十分にとれていないことがあります。脱水症状を起こし熱中症になってしまうこともあります。
睡眠時
日向ぼっこ中にそのままスヤスヤとお昼寝するワンちゃん、ネコちゃんは多いですよね。これも実は熱中症になってしまう危険性があります。直射日光が当たる場所はそこだけ温度が高くなり、ワンちゃんネコちゃん自身も気付かないうちに熱中症になってしまうことがあります。
予防・対策・工夫は?
・温度、湿度、直射日光に気をつける☀
・水分補給💧
・冷却グッズを活用❄
お散歩時
・日中を避け、涼しい時間帯に散歩する
・アスファルトの熱さに注意し日陰の多い所を選ぶ
(肉球🐾のやけどの原因にも)
・こまめに水分補給をさせる
お家の中(留守番時など)
・エアコンを活用する
・風通しをよくし、直射日光を避ける
・自由に涼しい場所に移動できるようにする
・いつでも新鮮なお水が飲めるように常に用意しておく
📌水分補給の工夫
熱中症対策に水分補給はとても大切ですが、思うように水分をとってくれない子もいますよね。そんな時の水分補給の工夫をご紹介します!
・水の温度、あげ方を工夫してみる。 常温よりもぬるま湯、氷を好む場合や、流れるお水が好きな子もいます。
・食事から水分を摂取できるようにする。 ドライフードにぬるま湯を混ぜたり、水分の多いウェットフード、スープを与えてみましょう!
最後に…
暑い日がまだまだ続く中、ワンちゃんネコちゃんが熱中症になってしまわないように,日頃から飼い主様が心がけて生活することが重要です!
もし熱中症になってしまったら応急処置を行い、保冷剤などで冷やした状態のまますぐに病院を受診することをおすすめいたします。
飼い主様自身も熱中症に気をつけてお過ごしください!
近況…
先日、リアンの誕生日だったのでみんなにお祝いして(?)もらいました。
誕生日がわからないとら吉とハイハオはとばっちり…
みんなかわいいね☆



猫は紐好きですよね〜

(帽子の紐にじゃれるとら吉…)

(ハイハオも紐にじゃれてたら耳にかかっちゃった…)

(袋も好きでお持ち帰りされてます🥰)

二匹とも自ら犬舎に入って行きました。
お互い相手に興味がないのでけんかはしませんが長時間はストレスのようです…















